Пневмония является одной из самых опасных патологий у новорождённых. В связи с особенностями детского организма болезнь имеет другие механизмы развития и требует, соответственно, других подходов к лечению.
Несмотря на внедрение современных методов диагностики и терапии, воспаление легких остается довольно частой причиной детской смертности. Поэтому лечение проводится по специальным медицинским протоколам, учитывающим возрастные особенности.
Как лечить пневмонию у новорожденного
Лечение воспаления у самых маленьких пациентов имеет свои особенности. Всех новорождённых с подозрением на пневмонию, независимо от тяжести состояния, госпитализируют в стационар, поскольку в домашней обстановке, т.е. при амбулаторном лечении сложнее обеспечить нужный микроклимат и защитить от аллергенов, опасных для ослабленного организма.
Медперсонал больницы ведет за новорожденными круглосуточное наблюдение, чтобы избежать развития осложнений. Ребенка часто переворачивают с боку на бок, чтобы не допустить застоя жидкости в легких и усугубления патологии.
Медикаменты малышам вводят внутривенно или внутримышечно, так как ребенку сложно проглотить таблетку или выпить неприятный на вкус лекарственный раствор.
В лечение новорожденных входят следующие виды терапии:
- Этиологическая терапия. Для борьбы с пневмонией используют антибиотики, чаще всего из группы фторхинолонов. Курс, кратность приема и дозу индивидуально назначает врач. Если болезнь прогрессирует, используют комбинацию двух и больше антибиотиков разных групп.
- Патогенетическая терапия. Она заключается в назначении солевых растворов для восстановления водного и электролитного баланса.
- Симптоматическая терапия. Она, как дополнительный элемент, улучшает самочувствие новорождённых (например, жаропонижающие или отхаркивающие).
Важно! Если у крохи возникли какие-либо осложнения (тяжёлая интоксикация, сепсис, апноэ, судорожные состояния), новорождённого переводят в отделение реанимации. Там его подключают к аппарату искусственной вентиляции лёгких (ИВЛ) и проводят интенсивную терапию.
После пневмонии организм малыша очень истощенный, и любые ОРВИ могут дать начало новому эпизоду (рецидиву) воспаления легких. Поэтому лечащий врач стационара дает родителям рекомендации по профилактике данного заболевания и план дальнейших действий в дома.
Лечиться в привычной, домашней обстановке, безусловно, комфортнее, поэтому, как правило, малыши быстро идут на поправку после выписки.
Ребенок также наблюдается у участкового педиатра в течение срока, рекомендованного врачом стационара. Это срок зависит от того, сколько времени ребенок провел в больнице и каков риск развития рецидива пневмонии.
Рекомендуем ознакомиться!
О причинах и последствиях врожденной пневмонии у новорожденного: читайте здесь
Как долго лечится
Острая стадия пневмонии легкой формы без осложнений и с корректной терапией длится приблизительно 2 недели. Следующие 14 дней покажут, адекватная ли терапия проводилась и насколько эффективным было лечение. У новорождённых детей иммунная система не до конца сформирована, поэтому очень часто процесс лечения затягивается.
На длительность восстановления после болезни влияет несколько факторов:
- форма пневмонии;
- возбудитель;
- общее состояние здоровья;
- своевременное обращение за медицинской помощью;
- наличие сопутствующих патологий;
- качество лечения;
- длительность пребывания в стационаре.
Не все бактерии быстро погибают под действием антибиотиков. Синегнойная палочка, легионелла или пневмоциста имеют большую стойкость к медикаментам, поэтому такая пневмония сложно и длительно лечится. Позднее обращение к врачу грозит тяжёлыми осложнениями, что также оттягивает процесс выздоровления.
На то, сколько лечится пневмония у новорожденных, влияют тяжесть заболевания и вид диагностированной пневмонии.
Так, типичная внебольничная пневмония лечится 5-7 дней (легкая), 5-15 дней (среднетяжкая), 10-21 день (тяжкая). Внутрибольничная и атипичная пневмонии легкой степени — 7-15 суток, среднетяжкой степени — 10-21 день, тяжкой — 14-56 дней. Пневмония у детей с ослабленным иммунитетом легкой и средней тяжести длится, как правило, от 2 до 3 недель, тяжкая — 21 день.
Чем дольше болезнь тянется, тем больше слабеет организм. В больничном стационаре присутствует своя микрофлора бактерий. Они очень устойчивы к любым препаратам из-за постоянного влияния дезинфицирующих средств. Если такие стойкие возбудители попадут в ослабленный организм новорождённого, лечение может затянуться на длительный строк.
Лечение пневмонии у недоношенных детей
В первую очередь таким малышам обеспечивают правильный режим. Их помещают в кювез отделения патологии новорожденных. Оптимальная температура в отделении колеблется от 34 до 36°С, а влажность воздуха в пределах 60-70%. Пеленают малышей свободно, чтобы не препятствовать двигательной активности.
На заметку! Новорождённому регулярно проводят отсасывание слизи из дыхательных путей с помощью специальных аэрозолей и растворов. Кормление проводят через зонд, после чего малышу придают вертикальное положение.
Очень важным фактором на пути к выздоровлению является адекватная кислородотерапия. Кислород используют при дыхательной недостаточности и расстройствах газового гомеостаза.
Антибиотики назначают широкого спектра действия вместе с растворами кристаллоидов. Кроме того, недоношенным малышам вводят иммуноглобулины для повышения иммунитета и плазму.
Читайте также:
Двусторонняя пневмония передается воздушно капельным путем
На фоне лечения пневмонии, проводят необходимые мероприятия по уходу за недоношенным новорождённым (сестринский процесс).
Полезное видео
Профессор Н.А. Ильина — Пневмонии у детей и новорожденных:
Заключение
Организм новорожденных и детей постарше отличаются между собой, поэтому развитие и течение пневмонии у них разное. Сроки лечения, как правило, зависят от общего состояния и тяжести патологии. Однако правильный режим, корректное лечение, а также восстановительные реабилитационные процедуры обеспечат малышу быстрое выздоровление.
Новорожденный малыш особенно уязвим перед внешними раздражителями. Особенно это касается детей, появившихся на свет раньше срока. У них существует высокий риск заражения инфекционными и вирусными заболеваниями, которые приводят к ряду проблем, в том числе и воспалению легких.
Пневмония у недоношенных детей протекает более тяжело и представляет угрозу для жизни и здоровья крохи при несвоевременном лечении. Прогнозы на успешное выздоровление будут зависеть от умелых действий родителей и медицинского персонала.
Почему возникает и откуда берется
Основная причина развития пневмонии (или воспаления легких) у грудничков – особенности строения дыхательной системы.
Основные факторы, способствующие развитию патологического процесса:
- недостаточная вентиляция легких;
- неполное расправление альвеол.
К другим причинам возникновения пневмонии у недоношенных детей относят:
- неграмотный уход за ребенком в родильном доме;
- плохие санитарные условия содержания;
- поражение участков головного мозга или ЦНС;
- генетическую предрасположенность к заболеванию;
- сложное течение беременности, сопровождавшееся гипоксией и асфиксией;
- наличие у матери половых инфекций;
- внутричерепные травмы;
- родоразрешение посредством кесарева сечения.
В среднем у 15% недоношенных малышей наблюдается пневмонией той или иной формы.
Признаки и симптомы
У детей, появившихся на свет раньше времени, признаки воспаления легких проявляются ярче, чем у малышей, родившихся в срок.
Пневмония у недоношенного ребенка проявляется:
- нарушением или полным отсутствием врожденных рефлексов ( глотательных, сосательных, хватательных);
- бледностью кожи;
- проблемами с пищеварением, характеризующимися частым срыгиванием, вздутием живота или рвотой;
- пониженной температурой тела (реже наблюдается гипертермия);
- впадением грудной клетки;
- дыханием с хрипами и свистами;
- нарушением сердечного ритма;
- приступами асфиксии (остановки дыхания).
У рассматриваемой группы малышей пневмония чаще переходит в тяжелые формы течения и осложняется летальным исходом.
Рассмотрим основные сходства и различия симптоматики воспаления легких у недоношенных и вовремя появившихся на свет детей:
| Признак | Недоношенный младенец | Доношенный младенец |
| Повышение температуры тела | Наблюдается редко | Наблюдается часто |
| Дыхательная недостаточность | Имеется | Отмечается только в случаях тяжелого течения |
| Легочное и внелегочное осложнение пневмонии | Имеется | Отмечается только в случаях тяжелого течения |
| Рахит и анемия | Отмечается | Не отмечается |
| Жесткость дыхания | Имеется | Имеется |
| Непродуктивный кашель | Имеется | Имеется |
Пневмония у недоношенных детей тяжелее поддается излечению из-за незрелости их иммунной системы, которая не в силах справляться с болезнетворными микроорганизмами.
Последствия и прогнозы
Риск развития осложнений после пневмонии и успех выздоровления после перенесенного заболевания во многом зависит от своевременности предпринятых лечебных мероприятий.
Частые осложнения
К частым последствиям воспаления легких у преждевременно родившихся малышей относят:
- плеврит;
- легочную недостаточность;
- изменение структуры органов дыхательной системы;
- плевмоторакс.
Чем опасна
Список негативных последствий внелегочного характера:
- поражение клеток ЦНС;
- сепсис;
- внутренние кровотечения;
- нарушение работы надпочечников;
- воспалительные заболевания лор – органов;
- сердечная недостаточность.
Перечисленные осложнения опасны летальным исходом.
Смертность детей от пневмонии возрастает при несформированности иммунитета, сильной недоношенности (до 28 недель) и тяжелой гипертрофии.
Выживают ли
Пневмония успешно лечится у недоношенных малышей при своевременно начатых терапевтических мероприятиях. Однако после о лечения малыш будет подлежать диспансерному наблюдению в течение 1 года.
В первые 6 месяцев после перенесенного заболевания родители должны будут сдавать ряд анализов крохи (кровь, мочу) и показывать малыша пульмонологу. Эти мероприятия позволят предупредить осложнения на фоне воспаления и позволят вовремя распознать повторное обострение патологии.
Формы и особенности течения
Выделяют несколько форм пневмонии у новорожденных, в зависимости от причины развития нарушения и времени его возникновения после появления ребенка на свет
Врожденная
Врожденное воспаление легких диагностируется в основном у недоношенных малышей. Дети, появившиеся в срок, могут заболеть пневмонией только при условии наследственной предрасположенности или иммунодефицита.
Возбудитель врожденной формы нарушения – пневмоциста Карини.
Инкубационный период составляет от нескольких недель до 1 месяца.
Врожденная пневмония протекает в 2 стадиях, для каждой из которых характерна отличительная симптоматика:
| Стадия | Симптомы |
| 1 стадия продолжительностью 1-2 недели от появления первых симптомов патологии | Наличие умеренной одышки и плохого аппетита, частый водянистый стул, непродуктивное покашливание |
| 2 стадия продолжительностью 2-4 недели | Резко выраженная одышка с повышением ЧДД до 140 дыханий в минуту, незначительные хрипы в грудной клетке или их отсутствие, увеличение внутренних органов в размерах, изменение цвета кожных покровов |
Читайте также:
Мокрота в бронхах в результате пневмонии
Недоношенный ребенок может умереть еще на первой стадии врожденной пневмонии из-за сердечной недостаточности и патологических изменений в структуре дыхательной системы. Летальный исход наступает при условии отсутствия квалифицированной помощи.
Антенатальная
Патология возникает после кесарева сечения из-за инфицирования ребенка вирусными бактериальными или грибковыми агентами. Антенатальная пневмония в запущенной форме приводит к гибели малыша.
Особенно опасно заболевание, вызванное стрептококками. Возбудитель приводит к формированию в дыхательной системе гнойных очагов, которые при прорыве наружу становятся причиной заражения крови.
Справиться с последствием воспаления легких у недоношенных будет сложно даже с помощью антибиотиков.
Постнатальная
Постнатальная пневмония у новорожденного недоношенного малыша отличается скрытым течением. Признаки воспалительного процесса проявляются через несколько дней или недель.
При внимательном наблюдении за ребенком можно обнаружить первые признаки нарушения, нехарактерные для пневмонии:
- вялость;
- частые срыгивания;
- отсутствие аппетита.
Повышение температуры при постнатальной форме нарушения отсутствует, что связано с низкой иммунологической реактивностью организма малыша.
После ИВЛ
Искусственная вентиляция легких назначается ребенку, который сам не дышит. Основная причина развития пневмонии после ИВЛ – проникновение в легкие малыша тех же возбудителей, что и при врожденной форме заболевания.
Патология возникает из-за попадания болезнетворной флоры из носоглотки и ротовой полости малыша в дыхательную систему.
Воспаление легких после ИВ отличается стремительным течением и невыраженной клинической картиной.
Заподозрить заболевание у ребенка без специальных исследований трудно, даже при тяжелых формах нарушения.
К списку ведущих признаков нарушения относят:
- кислородозависимость, в результате которой увеличивается срок проведения аппаратной вентиляции легких;
- интоксикацию организма.
У глубоко недоношенных детей
Глубоко недоношенными считаются дети с массой тела менее 1500г. Воспаление легких у них могут вызвать энтеровирусы и возбудители ветряной оспы.
Признаки развивающегося нарушения:
- отсутствие или слабый крик;
- затрудненное дыхание;
- увеличение внутренних органов;
- сухость кожи;
- хрипы в грудной клетке при прослушивании;
- наличие геморрагической сыпи на поверхности на теле.
Двухсторонняя
Причина двусторонней формы пневмонии у недоношенных – заражение инфекцией во внутриутробном периоде. Бактерии активно размножаются в дыхательных путях малыша из-за недостаточной вентиляции легких. Несвоевременные меры в подавляющем большинстве случаях становятся причиной смерти малыша.
Двухстороннее воспаление легких у новорожденного сложно не заметить, так как оно проявляется яркой симптоматикой:
- значительным повышением температуры;
- обильными срыгиваниями и рвотой;
- изнурительным кашлем;
- цианозом кожи;
- слезоточивостью;
- дыханием с хрипами;
- потерей аппетита;
- чрезмерным потоотделением.
Малышей с диагностированной двусторонней пневмонией лечат в реанимации, так как эта форма заболевания считается наиболее опасной из всех вышеперечисленных.
Диагностика
Выявить пневмонию у недоношенных младенцев врачам позволяют лабораторные и инструментальные обследования.
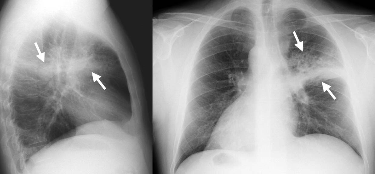
Основную роль в постановке окончательного диагноза отводят рентгену грудной клетки.
Пневмония на рентгеновском снимке
На снимках, полученных после рентгенологического исследования, отмечается усиленный сосудистый рисунок, участки потемнения легочной ткани и рассеянная перибронхиальная инфильтрация.
Если у врачей имеются сомнения в диагнозе, то они назначают малышу обследование сердца, которое исключит или подтвердит наличие предрасполагающих к воспалению легких факторов.
Для определения возбудителя заболевания у ребенка берется кровь. Дополнительно биологический материал обследуется на чувствительность болезнетворной флоры к антибиотикам.
Лечение
Острая стадия пневмонии, не осложненная другими заболеваниями, при грамотных действиях врачей и родителей проходит за 2 недели. Время терапии может затянуться из-за несовершенности иммунитета младенцев.
Какие препараты входят в курс лечения
Основные средства, используемые для лечения пневмонии бактериального происхождения – антибиотики из группы цефалоспоринов или аминогликозидов. После получения результатов обследования препараты широкого спектра действия могут быть заменены другими антибактериальными средствами.
Для лечения недоношенных детей используется ½ дозировки антибиотика, положенная для родившихся в срок детей. Препараты вводятся малышу только внутримышечно.
Для терапии недоношенных малышей запрещается использовать некоторые виды антибактериальных медикаментов:
- левомицетин – пагубно влияет на костный мозг;
- мономицин, стрептомицин – оказывает токсическое воздействие на органы слуха.
Пассивная иммунизация
Процедура необходима для выработки иммунитета у детей против возбудителей пневмонии. Препарат, вводимый малышам, содержит антитела к вирусам и бактериям– иммуноглобулин.
Если пневмония у недоношенных детей имеет вирусную природу, то для ее лечения используют Реаферон, Виферон или Генферон. Также допускается применение иммуномодулирующих средств – Ликопида, Бронхомунала, Рибомунила.
Сколько лежали в больнице
Как долго длится стационарное лечение? Время выздоровления недоношенных младенцев от нескольких факторов:
- тяжести нарушения;
- своевременности начатых терапевтических процедур;
- наличия сопутствующих соматических заболеваний;
- общего состояния здоровья пациента;
- вида возбудителя.
Воспаление легких в легкой стадии лечится с помощью антибиотиков 7-15 дней, среднетяжелая – до 10-21 день, тяжелая – от 2 до 8 недель. Чем дольше длится заболевание, тем тяжелее ребенку будет избежать внутрибольничной формы пневмонии.
В лечебных учреждениях присутствует своя микрофлора, которая устойчива к лекарственным средствам из-за постоянной дезинфекции помещений. Если стойкие виды бактерий попадут в организм малыша, то лечение пневмонии может затянуться на неопределенный срок.
Читайте также:
Сколько бывает температура при пневмонии
Питание и уход
Лечение пневмонии у грудничка проводится в отдельном боксе для того, чтобы предупредить распространение инфекции в медицинском учреждении. Малыша одевают в просторную одежду.
Тугое пеленание в этом случае считается недопустимым.
В течение дня маме и медицинскому персоналу необходимо будет регулярно менять положение тела младенца, проветривать и кварцевать помещение, в котором ребенок находится.
Кормление больного проводится через зонд грудным молоком. После улучшения состояния кроху переводят на естественное вскармливание.
После каждого приема пищи малыша удерживают столбиком для профилактики срыгивания. Избегают перекладывания ребенка на спину или живот, в этом случае он может задохнуться от нехватки кислорода или подавиться молоком во время срыгивания.
Для обеспечения нормального дыхания трижды в день проводят гигиену носоглотки младенца с откачивание слизи из носа.
Вам будет интересно узнать
Почему рождаются недоношенные дети? Возможные причины – в нашей статье.
Кто такие сиамские близнецы? Интересная информация – тут.
Узнайте, как проходит кесарево сечение при двойне, здесь.
Наша история
У одного из моих недоношенных мальчиков-двойняшек тоже после родов была выявлена двухсторонняя пневмония. Причина заключалась в нахождении ребенка без околоплодных вод в течение двух суток. А конкретного возбудителя пневмонии так и не выявили, хотя мы с ним были обследованы от и до.
Я родила днем, а вечером ребенка перевели на ИВЛ, ввели его в искусственную кому. Примерно 5 дней он был с угнетенным сознанием, я ходила 2 раза в день в реанимацию, разрешали его гладить, засовывая руки в отверстия в кювезе. Описать состояние матери, когда ты видишь ребенка в таком виде, словами невозможно ((
Прогнозов нам не давали, после наряду с пневмонией был выставлен диагноз миокардита. Говорили, что ребенок очень тяжелый. На 5-6 день его потихоньку начали выводить из комы, он стал более активным, начал возмущаться по поводу того, что его часто беспокоят, пинался, крутился)) С ИВЛ сняли, но питание оставалось зондовым и он продолжал лежать в реанимации. В общей сложности, этот период составил 10 дней.
Затем ребенка перевели на второй этап, и еще там мы провели 3 недели. Примерно неделю он иногда нестабильно дышал (в палате находился экран и датчики кислорода), потом все успокоилось. Сняли зонд и малыш начал кушать сам.
Сейчас детям 7 лет и никаких последствий пневмонии у Сережи нет. Все сопутствующие диагнозы сняли после года. Так что при адекватном лечении ребенок будет здоров!
Профилактика
Преждевременно появившиеся на свет дети больше подвержены пневмонии.
Поэтому маме еще на этапе беременности следует соблюдать ряд профилактических правил, которые минимизируют осложнения во время вынашивания плода:
- Во время встать на учет к гинекологу, сдавать весь спектр необходимых анализов, регулярно проходить осмотры у специалистов других профилей.
- Отказаться от вредных привычек во время беременности.
- Сбалансировано питаться для успешного формирования иммунитета будущего ребенка.
- Минимизировать контакты с людьми, зараженными ОРВИ и инфекционными агентами (особенно это касается первого и последнего триместра).
- При малейшем ухудшении самочувствия обращаться к врачу за оказанием помощи.
- По возможности вылечить все имеющиеся хронические заболевания.
Перечисленные меры позволят свести к минимуму риск преждевременных родов и заражение ребенка возбудителями пневмонии.
Здоровье малыша во многом зависит от течения беременности, поэтому стоит подойти к зачатию малыша с полной ответственностью.
Пневмония у детей, рожденных раньше срока, может стать причиной смерти малыша или развития опасных осложнений: сердечной недостаточности, патологического изменения строения органов дыхания, ослабления иммунитета.
Патология лечится в условиях стационара с применением этиотропных препаратов (антибиотиков, противовирусных и противогрибковых средств) и иммуномодулирующих лекарств. Выбрать подходящий препарат для лечения ребенка в каждом конкретном случае врачи смогут только после проведения комплексной диагностики.


