Подагра – это болезнь, связанная с нарушением обмена веществ, при которой ураты (соли мочевой кислоты) накапливаются в суставах. Подагру еще во времена Гиппократа называли «болезнью королей», так как неумеренность в еде и спиртном могли позволить себе только знатные люди. По статистике, в России подагрой болеет каждый 3 человек из 1000. Чаще всего этому заболеванию подвержены мужчины, достигшие 40 лет. Женщины тоже болеют подагрой, но, как правило, после менопаузы. По сути, подагра является одной из разновидностей патологий костно-суставной системы, причиной которой является отложение солей.
Заболевание влияет на все суставы, начиная от суставов пальцев рук до суставов пальцев ног.
Подагра (фото на ногах)
Основной причиной возникновения подагры является злоупотребление либо едой (мясом, копченостями, субпродуктами (печенью, почками), бобами, рыбно-соленой пищей, фасолью, шоколадом), либо спиртными напитками.
Причиной могут также являться:
- Отягощённая наследственность;
- Характер питания;
- Повышение уровня мочевой кислоты в крови.
К группе риска относятся люди, имеющие:
- Ожирение;
- Сахарный диабет;
- Гипертоническую болезнь;
- Заболевания почек;
- Заболевание желудочно-кишечного тракта;
- Люди с малоподвижным образом жизни.
Во время течения заболевания происходит накапливание производных мочевой кислоты (кристаллы уратов) в суставах, тканях, органах и других системах организма. Нарушение целостности сустава (частичное или полное разрушение) происходит из-за того, что урат кристаллизуется и откладывается в виде мелких частичек.
Большое содержание мочевой кислоты в организме человека происходит по нескольким причинам:
- Абсолютно здоровые почки не выводят огромное количество мочевой кислоты;
- Мочевая кислота выбрасывается в нормальном количестве, но почки не могут её вывести из организма.
В Юсуповской больнице оказывают современную и эффективную медицинскую помощь пациентам со всеми ревматическими болезнями, в том числе и пациентам с подагрой. В больнице работают квалифицированные ревматологи с многолетним опытом клинической работы. В Юсуповской больнице проводят качественную лабораторную диагностику и инновационные инструментальные методы исследования (ультразвуковая диагностика, магнитно-резонансная томография, компьютерная томография и прочие), которые позволяют распознать развитие ревматических заболевания на ранних стадиях.
Что такое подагра у мужчин на ногах?
Подагра, как правило, имеет хроническое течение, поэтому полностью излечить её практически невозможно. Данное заболевание проявляется чаще на ногах. У мужчин подагра характеризуется следующими симптомами:
- Острая боль в суставах, усиливающаяся в утреннее время;
- Покраснение и отечность первого пальца;
- Скованность в конечностях;
- Ограничение подвижности;
- Подъем артериального давления;
- Повышение температуры тела;
- Чувство жара;
- Потеря аппетита;
- Частая смена настроения.
Первые атаки подагрического артрита (воспаление одного сустава) практически всегда бывают краткосрочными. Начинается такой приступ внезапно, как правило, ночью. Чаще всего воспаляется сустав большого пальца ноги (может один или сразу оба).
Фото: подагра на большом пальце ноги у мужчины
Помимо того, что больных беспокоит сильнейшая боль, во время приступа сустав начинает распухать, краснеть, кожа в этой области становится ярко-красной или багряной, теплой или горячей на ощупь. Даже незначительное прикосновение к воспаленному месту или минимальное движение в суставе причиняют невыносимую боль. После нескольких дней мучительной боли (3-4 дня) симптомы резко прекращаются, будто ничего и не было.
Однако спустя определенное количество времени боль также внезапно возобновляется. Причем, если в начале интервалы между приступами были достаточно длительными (от одного месяца до года), а сами атаки подагрического артрита непродолжительные, то со временем клиническая картина меняется в худшую сторону. Атаки становятся более длительными, а интервалы между ними более короткими.
В конце концов, наступает такой момент, когда боль в суставах имеет постоянный характер, а светлые промежутки между приступами практически исчезают. Данное состояние носит название «подагрический статус», или хронический подагрический артрит. При хроническом подагрическом артрите наступает разрушение суставного хряща, а в рядом расположенных костях образуются специфические дефекты — «пробойники», представляющие собой полость, заполненную микрокристаллами урата натрия.
На фото симптом «пробойника» на кости первого пальца ноги
Кристаллы урата натрия могут также накапливаться под кожей, образовывая белесоватые твердые узелки (тофусы), которые заполнены кашицеобразной массой. Такие тофусы часто образуются вокруг пораженного сустава.
Фото: тофусы вокруг суставов пальцев ног
В особенно запущенных ситуациях подагра может дать осложнения на почки, так как в них тоже могут откладываться ураты, что приводит к мочекаменной болезни, а иногда и к пиелонефриту (воспалению почек).
У мужчин подагра встречается гораздо чаще и в более раннем возрасте, по сравнению с женщинами. Мужская половина человечества подвержена этой патологии уже к 40 годам.
Что такое подагра у женщин на ногах?
Под воздействием провоцирующих факторов у женщин нарушаются естественные процессы выделения мочевой кислоты и поступления ее в организм, уровень мочевины в крови при этом значительно повышается. Это объясняется недостаточной выработкой эстрогенов, которая в женском организме начинается в период менопаузы. Поэтому подагрой чаще всего болеют женщины после 50 лет при остром дефиците полового гормона и патологиях эндокринной системы. Основными симптомами являются:
- Образование тофусов (накопление уратов в суставных тканях);
- Нефролитиаз (скопление мочевины в почках с последующим образованием конкрементов);
- Подагрическая (уратная) нефропатия.
Читайте также:
Острая боль при подагре как снять боль
Как вылечить подагру на ногах в Москве?
Чем лечить подагру на ногах знают врачи-ревматологи Юсуповской больницы. В борьбе с острыми воспалениями суставов врачи Юсуповской больницы применяют сразу несколько фармакологических групп:
- Нестероидные противовоспалительные средства (такие как Ибупрофен, Индометацин, Диклофенак);
- Урикозурические препараты (с целью снижения содержания мочевой кислоты) — Антуран, Бутадион, Кетазон;
- Кортикостероиды (Преднизолон, Дексаметазон, Триамцинолон).
Уколы при подагре на ногах используются для купирования болевого синдрома. Выбор препарата при этом зависит от состояния здоровья пациента и особенности болевого порога человека, который определяет непосредственно врач.
В качестве вспомогательной терапии подагры ревматологи рекомендуют ежедневно на ночь наносить йодную сетку на пораженные участки. Таким образом можно уменьшить очаги воспаления, ускорить процесс ремиссии и ослабить приступ боли. Для усиления эффекта необходимо в йод добавить аспирин, и готовым составом регулярно смазывать пораженные суставы.
В Юсуповской больнице активно применяются физиотерапевтические методы лечения, которые эффективно снимают воспаление, сокращают число атак, предотвращают застойные явления уратов натрия и восстанавливают пораженные ткани суставов. С этой целью в больнице имеется:
- Электрофорез;
- Фонофорез;
- Ультрафонофорез;
- Тепловые процедуры;
- Магнитотерапия;
- Амплипульс;
- Ультразвук.
Врачи Юсуповской больницы подберут индивидуальную программу правильного питания, которая будет исключать продукты, провоцирующие возникновение подагрического приступа. Ревматологи больницы распишут лечебную физкультуру с целью возобновления прежней подвижности суставов, нормализации кровообращения и обменных процессов в организме, а также укрепления мышечного аппарата пациента.
Если у Вас подагра большого пальца ноги и Вы нуждаетесь в лечении, обращайтесь за помощью к специалистам Юсуповской больницы. Врачи проведут полное обследование, которое будет включать в себя:
- Общий анализ крови;
- Общий анализ мочи;
- Анализ крови на мочевую кислоту;
- Исследование внутрисуставной жидкости (синовиальной);
- Анализ крови на печеночные и почечные пробы, триглицериды, холестерин;
- Рентген-диагностика воспаленных суставов.
Ревматологи Юсуповской больницы на протяжении многих лет успешно занимаются лечением подагры на ногах у жителей России. В больнице имеется современное оборудование и вежливый медперсонал, который обеспечит комфортное пребывание в стационаре. Записаться на прием и консультацию можно по телефону.
Автор
Заведующий отделением анестезиологии-реанимации с палатами интенсивной терапии, анестезиолог-реаниматолог
Список литературы
- МКБ-10 (Международная классификация болезней)
- Юсуповская больница
- Ревматология. Малая медицинская энциклопедия. — М.: Медицинская энциклопедия. 1991—96 гг..
- Багирова, Г. Г. Избранные лекции по ревматологии / Г.Г. Багирова. — М.: Медицина, 2011. — 256 c.
- Сигидин, Я. А. Биологическая терапия в ревматологии / Я.А. Сигидин, Г.В. Лукина. — М.: Практическая медицина, 2015. — 304 c.
Наши специалисты
Врач-терапевт, гастроэнтеролог, кандидат медицинских наук. Заместитель генерального директора по медицинской части.
Ревматолог, кандидат медицинских наук
Ревматолог, врач высшей категории
Цены на услуги *
*Информация на сайте носит исключительно ознакомительный характер. Все материалы и цены, размещенные на сайте, не являются публичной офертой, определяемой положениями ст. 437 ГК РФ. Для получения точной информации обратитесь к сотрудникам клиники или посетите нашу клинику.
Скачать прайс на услуги
Мы работаем круглосуточно
Что такое подагра и как она выглядит многие знают не понаслышке, но не все догадываются, что заболевание связано с обменом веществ. Признаки подагры описывались еще во времена Гиппократа и тогда заболевание называли болезнью королей. В наши дни симптомы болезни не изменились – все так же мучаются люди от солей мочевой кислоты, откладывающихся в суставах.
Как выглядит подагра
Симптомы подагры (см. фото 2) проявляются как приступ артрита. В основном это касается одного сустава. Первые признаки проявляются покраснением кожи, ее лоском. Боль начинается неожиданно, в основном ранним утром. Также признаки подагры проявляются появлением на конечностях своеобразных наростов, причина которых кроется в устойчивом уровне мочевой кислоты, которая откладывается на любых органах и суставах организма.
Появляется хруст, движения сковываются; может произойти полная потеря пораженным суставом работоспособности. Общие симптомы подагры: заметное воспаление сустава, покраснение, температура в пораженном месте заметно выше. Симптомы у женщин в основном можно наблюдать в периоды наступления менопаузы.
Тофусы при подагре
Тофусы при подагре (см. фото 3) появляются при относительно длительном заболевании. Они еще называются подагрическими узлами – под кожей появляются бугры. Большое скопление солей организм принимает за инородное тело, вырабатывая лейкоциты. Тофусы часто лопаются и на коже можно заметить беловатую пыль. Подагра у мужчин наблюдается чаще, в основном в возрасте 40 лет. Как выглядит подагра и даже ощутить ее, мужчины могут и намного раньше: этому способствуют нагрузки, неправильное питание, алкоголь, злоупотребление мясными продуктами. Симптомы подагры у женщин очень редко можно заметить, при норме эстрогенов, даже учитывая все провоцирующие факторы.
Подагра на ногах
Подагра на ногах (см. фото 4) в основном обозначена выпирающей косточкой. Это относится к очень серьезным заболеваниям. Подагра на ноге очень широко распространена среди любого слоя населения, никто от нее не застрахован. По статистике, это заболевание на ногах встречается у 80% населения, любящих посидеть за кружечкой пива. Так же признаки подагры на ноге могут появиться, если употреблять значительное количество продукции, богатой пурином.
Читайте также:
Стандарты лечения в рф подагры
Подагра на пальце ноги
Подагра большого пальца ноги часто называется подагрическим артритом. Сустав опухает, вырастает шишка. Подагра на пальце ноги (фото 5) доставляет массу неудобств: от ношения обуви до сильных болей. В период обострения требуется обеспечение полного покоя, постельного режима. Эта болезнь большого пальца имеет пагубные последствия: полное разрушение устава. Заболевание может иметь приступы, длящиеся несколько дней.
Подагра на руках
Подагра руки выражена отечностью, опухолью и постоянной болью в области суставов. Подагра на руках (фото 6) может локализоваться в лучезапястном суставе, локтевом, на пальцах. Конечность теряет привычную подвижность, появляется хруст. В области локтя она может распространяться отечностью мягких тканей, как в верхней части, так и в нижней. Подагра лучезапястного сустава довольно часто вызывает изменение цвета кожного покрова всей кисти.
Подагра голеностопного сустава
Данный вид встречается намного реже. Это вязано с тем, что заболеванию подвержены в основном мелкие суставы. Подагра голеностопного сустава (фото 7) часто выражена отечностью, вздутием мягких тканей, полностью весь сустав поражается нечасто. Почти всегда подагра ног вызывает дикую боль среди ночи. У женщин она вызывает меньшую боль и ее часто можно спутать с артрозными болями.
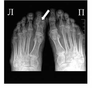
Как выглядит подагра стопы
Подагра стопы (см. фото 8) сопровождается постоянными болями. Деформация суставов вызвана недостаточностью кровообращения ног. Именно поэтому подагра не наблюдается у людей, находящихся в постоянном движении и что такое подагра они могут никогда так и не узнать. Как выглядит подагра стопы можно обнаружить по результатам снимков, так как могут быть поражены полностью все суставы и общие наружные признаки, кроме боли, могут не наблюдаться.
Подагра на пальцах рук
Подагра на пальцах рук (см. фото 9), особенно у женщин, выглядит крайне непривлекательно: опухшие покрасневшие суставы часто деформируются, что приводит к искривлению пальцев. Симптомы подагры на руках видны довольно отчетливо, так как основная физическая нагрузка приходится именно на них. Данная болезнь на пальцах рук почти всегда приводит к полному разрушению суставов и потере трудоспособности.
Подагра на пятке
Подагра на пятке (на фото 10) выражена жгучей болью, сравнимой с воткнутой иголкой. Если нет полученных травм, то это вполне может оказаться именно она. Самостоятельным лечением от проблемы не избавиться. Следует отметить, что подагра у мужчин в области пятки возникает значительно реже, нежели у дам.
Это связано с модным увлечением пользоваться высоким каблуком, вызывающим значительные перегрузки. Только на рентгеновских снимках можно увидеть, как выглядит подагра пятки, так как отложения происходят под толстым слоем кожи, а снаружи может присутствовать опухоль, краснота.
Галерея фотографий подагры на ногах
- Фотографии
- Векторы
- Редакционные
- Видео
- Иллюстрации
- Живой чат
- Для бизнеса
- Наши планы и цены
Фотографии
- Все изображения
- Фотографии
- Векторы
- Видео
- Иллюстрации
- Войти
- Зарегистрироваться
Лучший выбор
- Сортировать
- Лучший выбор
- Свежайшие
- Популярные
- Лучший выбор
- Свежайшие
- Популярные
Предыдущая
Дальше
1-100 из 878
Человек с болезненным и воспаленные подагры на его ноги вокруг области большого пальца.
Человек с болезненным и воспаленные подагры на его ноги вокруг области большого пальца.
Воспаления болезненные подагры на большой палец совместных
Человек с болезненным и воспаленные подагры на его ноги вокруг области большого пальца.
Концепция боли показаны человек
Человек с болезненным и воспаленные подагры на руке вокруг пальца.
Пара ног с деформированным правой ноги из-за воспаления болезненные подагра.
Боль в коленях
Человек на кровати объятия ноги с воспаления болезненные распухшие подагра
Вареные кубики с подагрой на деревянном столе на сером фоне
Боли в суставах пальцев
Боль в локтях
Пара ног с деформированным правой ноги из-за воспаления болезненные подагра.
Старший мужчина в мучительную рука болит болезненные запястья артрит
Боль, травмы плеча.
Рентген фильма и руки человека и артрит в многократном суставе (подагра, страдающий ревматизмом)
Боль в ноге, боль в стопе, массаж женских стоп на дому
Концепция боли ноги
Палец и боли в суставах
Избирательный акцент таблеток на деревянных кубиках с подагрой на деревянном столе на сером фоне
Болезненные лодыжки
Женщина с болезненным локоть на сером фоне
Деформированный большой палец из-за воспаления болезненные подагра
Правой ногой с воспаления болезненные распухшие подагра, отдыхая на кровати
Человек массажные онемение шеи, проблемы с позвоночника, условий плохой сон, здравоохранение
«Ревматоидный артрит , Подагрический артрит «Рентгеновские ноги ребенка и артрит ауту в плюсневофалале сустава (Большой нос области)
Человек с болезненным и воспаленные подагры на его ноги вокруг области большого пальца.
Созрел человек, страдающий от болезненных коленного сустава, сидящей на шагах
Правой ногой с воспаления болезненные распухшие подагра, отдыхая на кровати
Избирательный фокус деревянных кубиков с таблетками от подагры на деревянном столе на сером фоне
Подагра , Ревматоидный артрит ( Фильм рентген как ноги и артрит на первый плюсневиейлагенов сустава ) ( Медицина и наука фон )
На голеностопный сустав (подагра, ревматоидный артрит)
Подагра , Ревматоидный артрит ( Фильм рентген как ноги и артрит на первый плюсневиейлагенов сустава ) ( Медицина и наука фон )
Сухожилие коленных суставов на ноге женщины обозначены красным пятном
Окисляющая настойка из корня жука в стеклянной миске на черной поверхности с сырым свежим корнем жука, который может быть использован в качестве противовоспалительного средства в кишечнике..
Человек охватывает ноги с воспаление опухшие и болезненные подагра
Женщина с болезненным локтя на синем фоне
X-Ray человека лодыжки с артритом
Arm боль и травмы локтя концепции
Стопка кубиков с подагрой на деревянном столе на сером фоне
Старший мужчина в мучительную рука болит болезненные запястья артрит
Созрел человек, страдающий от болезненных локоть
Облако слов подагра
Орган многократного человека рентгена коллекции & ортопедическая хирургия & множественная болезнь (легочный туберкулез, подагра, ревматоидный артрит, спондилез, ломает кость, удар, опухоль головного мозга, и т.д.)
Окисляющая настойка из корня жука в стеклянной миске на черной поверхности гвоздики с сырым свежим корнем жука, который может быть использован в качестве противовоспалительного средства для киднея. Феноменальный выстрел.
Остановить подагра, написанные на руки
Подагра слово записи на доске
Руки человека с шрам.
Закрыть на болезненные коленного сустава созрел человек
Обернуть кварк
Множественный совместный артрит обе руки (подагра, страдающий ревматизмом) на черном фоне
Пленки рентгеновские коленного сустава с артрит (подагра, ревматоидный артрит, септический артрит, артроз колена) и пустую область на левой стороне
Множество рыбных и морепродуктов на местном рынке
Боль в ноге, боль в стопе, массаж женских стоп на дому
Муравей в природе. макрос
Концепция. Медицина и здоровье
Доктор показывает информацию на доске: подагра
Диагноз — подагра. Медицинская концепция с размытым фоном.
Пара ног с деформированным правой ноги из-за воспаления болезненные подагра.
Созрел человек, страдающий с совместной боли колена спуске лестницы
Подагра — текст на доске. 3D Иллюстрация.
Схема ожирения
Подагра здравоохранения концепция
Созрел человек, страдающих острой коленного боль в суставах, сидящего на ступеньках
Зрелая женщина массируя онемение шеи и плеч, последствия травм позвоночника
Ревматоидный артрит , подагрический артрит ( локоть рентгеновского пленки ребенка с артритом на локоть ) ( Боковой вид , боковой )
Apple сидр яблочный уксус и выпечки соды комбинация для кисловочного рефлюкса
Деформированный большой палец из-за воспаления болезненные подагра
Боль в ноге, боль в стопе, массаж женских стоп на дому
Остановить артрит, написанные на руки
Пожилая женщина страдает боль колена
Северная ходьба
Химическая структура мочевой кислоты
Окисляющая настойка из корня жука в стеклянной миске на черной поверхности гвоздики с сырым свежим корнем жука, который может быть использован в качестве противовоспалительного средства для киднея. Феноменальный выстрел.
Боль в локтях
Боль в запястьях
Артрит и травмы на лодыжке : пленка рентген ноги ребенка (вид сбоку) ( боковой )
Желоба на стене
Боль в коленях
Сердце лист Восток травы для здоровых
Человек на кровати объятия ноги с воспаления болезненные распухшие подагра
Мужской коленного боль
Правой ногой с воспаления болезненные распухшие подагра, отдыхая на кровати
Окисляющая настойка из корня жука в стеклянной миске на черной поверхности гвоздики с сырым свежим корнем жука, который может быть использован в качестве противовоспалительного средства для киднея. Феноменальный выстрел.
Анатомия кости calcaneus с ciculatory системой
Старая женщина, растяжения онемение руки, слабость мышц в старший возраст, артрит
Обернуть кварк
Woman with joint inflammation trauma. Female’s elbow. Arm pain and injury
Артрит медицина медицинское обследование, здравоохранение и больницы
Сидр яблочный уксус в банку, стекла и свежее яблоко, здоровый напиток
Созрел человек, страдающий от болезненных коленного сустава, сидящей на шагах
Созрел человек, страдающих острой коленного боль в суставах, восхождение шаги
Женщина с болезненным локоть на сером фоне
Мужчина в нижнем белье держит колено рукой на сером фоне.
Рука боль и концепция травмы. Крупным планом боковой профиль женщина с болезненным локтя
Здравоохранение и медицинская концепция
Ревматоидный артрит , Подагрический артрит (фильм рентгеновский локоть ребенка с артритом на локоть ) ( Боковой и передний вид , боковой и передний — Задний вид ) ( 2 позиции )
Старая женщина с болезненным пальцами
Артрит лодыжки. Рентгенография стопы. Вид сбоку. Инвертировать цвета стиля .
Боль в коленях
Следующая страница
Предыдущая
Дальше
Подагра на руках — фотографии и фотоПохожий поиск изображений:
- артроз
- мочевой кислоты
- боль в суставах
- симптомы подагры
- падагра
- занято фото
- что такое подагра картинки
- ревматоидный артрит картинки
Читайте также:
Рецепты еды при подагре меню













